Learn More about these
Amazing New Treatments
with the Fotona 4D Laser
SmoothEye – reduce wrinkles with little to no downtime
4D Facial Rejuvenation
LipLase, no injectables, smoother lips

SmoothEye – reduce wrinkles with little to no downtime
4D Facial Rejuvenation
LipLase, no injectables, smoother lips
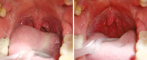
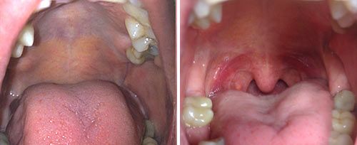
Fotona’s NightLase® therapy is a non-invasive, patient-friendly laser treatment for increasing the quality of a patient’s sleep. NightLase reduces the effects of sleep apnea and decreases the amplitude of snoring by means of a gentle, laser-induced tightening effect caused by the contraction of collagen in the oral mucosa tissue.



Outpatient Erbium:YAG (2940 nm) Laser Treatment for Snoring: A Prospective Study on 40 Patients. Fini Storchi I, Parker S, Bovis F, Benedicenti S, Amaroli A. Lasers Med Sci. 2018;33(2):399-406. doi:10.1007/s10103-018-2436-6. Read Full Text.
Minimally invasive erbium laser treatment for selected snorers. Frelich H, Scierski W, Markow M, Frelich J, Frelich H, Maciej M. Lasers. Med Sci. 2019;34(7):1413-1420. doi:10.1007/s10103-019-02731-6. Read Full Text.